Tiêu đề của tôi nội dung trang
Loading...
  • American
  • Tiếng Việt
  • THÔNG BÁO

    Công ty TNHH Công Nghệ TEGOX trân trọng thông báo đến quý khách hàng và Đối tác thời gian nghỉ tết Nguyên Đán 2023

    Nghỉ từ ngày 18.01.2023               Đến hết ngày 29.01.2023

    Đi làm trở lại từ thứ Hai, 30.01.2023



    Kính chúc quý khách hàng và đối tác có một kỳ nghỉ lễ vui vẻ!

     

    PHÂN URE PHỦ ZEOLITE DÙNG VỚI CÁC CHẤT KẾT DÍNH KHÁC NHAU: CHẾ TẠO, TÍNH CHẤT VẬT LIỆU VÀ NGHIÊN CỨU GIẢI PHÓNG NITO

    Ngày:
    28/07/2020

    Lượt xem:

    4336

    Ure thường được sử dụng rộng rãi cho cây nông nghiệp như nguồn phân bón giàu nito. Tuy nhiên phần lớn lượng nito (40-60%) bị thất thoát thông qua bay hơi (amoni), phân hủy và thoát theo dòng nước dẫn đến ô nhiễm môi trường nghiêm trọng (Davidson, 2009; Savci, 2012). Ngoài ra, cây trồng đòi hỏi sử dụng nguồn nito nhiều lần lặp lại dẫn đến giảm hiệu quả sử dụng nito và tăng chi phí phân bón cùng nhân công. Phân bón giải phóng có kiểm soát (control release fertilizers - CRF) có thể cung cấp nito dần dần, phù hợp với nhu cầu dinh dưỡng của cây trồng và tăng cường hiệu quả sử dụng nito bằng cách giảm thất thoát vào môi trường.

    Các vật liệu phủ sử dụng chế tạo CRF đóng vai trò quan trọng nhằm tạo rào cản khuếch tán nito để có thể kiểm soát sự giải phóng này. Hiệu quả của vật liệu phủ phụ thuộc vào các yếu tố như độ dày lớp phủ, tính giữ nước, ổn định nhiệt, cấu trúc hóa học và tính chất vật lý của vật liệu phủ. Các vật liệu phủ thường có 2 loại: lớp phủ polymer hữu cơ và khoáng vật vô cơ. Các lớp phủ polymer hữu cơ hoặc là nhựa resin hoặc nhựa nhiệt dẻo, trong khi các lớp phủ vô cơ là lưu huỳnh hoặc thành phần khoáng khác. Các nhà nghiên cứu đã thử nghiệm các vật liệu polymer và non-polymer khác nhàu làm vật liệu phủ để kiểm soát sự giải phóng chất dinh dưỡng từ phân bón. Do chi phí cao liên quan đến sản xuất và vấn đề ô nhiễm môi trường từ lớp phủ polymer và lưu huỳnh, các nhà nghiên cứu đề xuất vật liệu thân thiện với môi trường và dễ chế tạo như thạch cao, bentonite, zeolite và neem làm vật liệu phủ cho CRF (Garcia et al., 1996; Choi and Nelson, 1996; Han et al., 2009; Ni et al., 2011; Mulder et al., 2011).

    Các chất hấp thụ thế hệ mới như zeolite, halloysite, montmorillonite, và bentonite nano-clays được sử dụng rộng rãi làm vật liệu phủ do tính chất trao đổi cation cao. Zeolite ((NaKCa)2−3Al3(AlSi)2Si13O) có nhiều trong tự nhiên cùng sử dụng đặc tính trao đổi ion và nó có thể giữ nước tới 60% trọng lượng của chúng do độ xốp cao. Hơn nữa khả năng hấp thụ cao làm zeolite trở thành chất mang phân bón nông nghiệp. Các lỗ hổng zeolite có thể giữ nito tốt hơn nhiều so với các loại đất sét khác như montmorillonite và bentonite (Manikandan và Subramanian, 2014). Lỗ hổng của zeolite có nhiều lỗ hổng siêu nhỏ micropores dưới 2 nm, mesopores (2 đến 50nm) và macropores (> 50nm) (Cejka và Mintova, 2007). Không gian trống trong lỗ rỗng của zeolite có từ 35-40% được sử dụng để chuyển phân đạm. Không giống với các loại đất khác (như vôi), zeolite không bị phân hủy theo thời gian mà vẫn ở trong đấy để cải thiện khả năng cung cấp dinh dưỡng. Việc bổ sung vào đất có thể cải thiện khả năng tăng trưởng bằng cách giữ lại các chất dinh dưỡng có lợi cho vùng rễ. Cấu trúc xốp của zeolite tự nhiên giúp giữ đất thoáng khí và ẩm ướt cũng như hoạt tính trong một thời gian dài.

    Các phương pháp vật lý để chế tạo CRF bao gồm sơn phun, sấy phun, tráng chảo và phun sương trên đĩa quay (rotary disk atomization). CRF sử dụng khoáng sét được sản xuất phổ biến bằng chảo, trống quay và kỹ thuật phủ tầng sôi (fluidized-bed coating techniques). Những kỹ thuật này thường được sử dụng để sản xuất CRF thương mại (Shirley Jr. và cộng sự, 1982; Gullett và Simmons, 1987). Trong quy trình trống quay, độ dày lớp phủ đồng nhất rất khó thực hiện được trừ khi sử dụng lượng lớn vật liệu phủ. Độ đồng đều lớp phủ trên chảo tạo hạt và tỷ lệ giải phóng chất dinh dưỡng phụ thuộc vào phân bố kích thước hạt, tính kết dính, nhiệt độ sấy và số lượng vật liệu phủ. Chất kết dính đóng vai trò quan trọng nhất trong quá trình tạo hạt. Khi phân bón được phủ tiếp xúc với nước, áp suất thẩm thấu sẽ tích tụ bên trong lóp phủ. Nếu áp suất thẩm thấu vượt ngưỡng kháng phủ, lớp phủ có thể bị vỡ nếu có tính chất liên kết kém và toàn bộ phân bón được giải phóng tự nhiên. Điều này được xem như thất bại.

    Các chất kết dính khác nhau đã được sử dụng để tăng tính ổn định của phân bón phủ khoáng. Hoeung et al. (2011) sử dụng phối trộn tỷ lệ tinh bột khoai mì (2% - 10%) và đất sét bentonite (5%, 7,5% và 10%) làm chất kết dính cho CRF ureazeolite. Họ quan sát thấy tỷ lệ giải phóng chất dinh dưỡng từ CRF giảm khi tăng lượng kết dính (binder). Trong nhiều nghiên cứu trước đó cho thấy để tạo ra một phân bón có kiểm soát tốt có thể thêm các chất kết dính mạnh. Các nghiên cứu liên quan đến CRF dựa trên khoáng sét tập trung chủ yếu vào vật liệu kết dính, do đất sét kết dính rất kém. Tuy nhiên không có nhiều nghiên cứu chi tiết về các chất kết dính phân hủy sinh học khác nhau để cải thiện hiệu quả chế tạo, độ ổn định của sản phẩm và tỷ lệ giải phóng phân bón phủ zeolite. Mục tiêu của nghiên cứu này là chế tạo ure CRF dựa trên phủ zeolite với vật liệu liên kết chi phí thấp và có sẵn, đặc trưng cho ure.

    Quy trình thử nghiệm tại phòng thí nghiệm

    Để chế tạo ure phủ zeolite, sử dụng chảo tạo hạt góc nghiêng 45 độ, tốc độ vòng quay 16 vòng/phút. Các thành phần được mô tả như bảng dưới.

     

    Do lực bám dính giữa chảo và hạt, các hạt có xu hướng xoay theo chiều kim đồng hồn và di chuyển lên đỉnh chảo rồi rơi xuống đáy. Sự di chuyển lên xuống liên tục của cá hạt và hỗn hợp đảm bảo sự pha trộn diễn ra tốt. Chất kết dính lỏng được phun lên ure và vật liệu phủ được trộn trong suốt quá trình tạo hạt, cho phép bề mặt hạt hấp phụ vật liệu phủ. Lượng chất kết dính mong muốn được phun thủ công vào các khoảng thời gian khác nhau trong suốt quá trình cho đến khi đạt được độ dày và kích thước hạt đồng nhất. Nhiều quy trình thử nghiệm chứng tỏ quy trình kéo dài 20 phút thích hợp để đạt được lớp phủ và độ dày đồng nhất. Sau khi đồng nhất, các hạt ure phủ zeolite được lấy khỏi chảo và sấy khô trong 1 giờ ở 40oC.

    Kết quả và thảo luận

    Chế tạo ZCU (Zeolite Coated Urea): năm loại ZCU được chế tạo bằng cách sử dụng ure làm vật liệu cơ bản, zeolite làm vật liệu phủ và tinh bột bắp, tinh bột khoai tây, xi măng trắng, bentonite và acrylic polymer (Polyacrylamide) làm vật liệu kết dính. Trong quá trình tạo hạt, bụi mịn chìm xuống đáy và hạt nền cùng phần còn lại nổi lên trên của vật liệu. Do sự phân tầng kích thước, các hạt có thể được tách ra dễ dàng. Vật liệu liên kết là yếu tố quan trọng nhất trong quá trình tạo hạt. Ure phủ zeolite không có vật liệu liên kết dẫn đến hiệu quả thấp hơn các ZCU khác và tạo nhiều bụi hơn. Hiệu quả tạo hạt của UZ-CS (Urea-Zeolite with Corn Starch) và UZ-PS (Urea-Zeolite with Potato Starch) tương tự nhau (~88%) nhưng không hiệu quả như UZ-AP (Urea-Zeolite with Acrylic Polymer) và UZ-WC (Urea-Zeolite with White Cement) (~94%). Polymer acrylic và xi măng trắng tạo kết dính tốt nhất trong CRF ure-Zeolite.

     

    Các đặc tính CRF

    Phân tích kích thước hạt: hơn 70% số ure được phủ có kích thước hạt trong khoảng 1-2.3mm, Acrylic polymer phủ tốt nhất và có phân bố đồng đều.

    Ổn định cấu trúc: trong số 5 loại phủ ure, UZ-WC và UZ-AP có cấu trúc ổn định vì không bị vỡ hạt sau 24 giờ ngâm. Các hạt UZ bị vỡ trong vòng 10 phút sau khi ngâm trong nước khử ion. Rất ít vết nứt và lỗ hổng nhỏ được phát hiện trong UZ, hạn chế nguy cơ giải phóng theo kiểu nổ (burst). Tinh bột bắp và tinh bột khoai tây trương phồng và biến dạng trong 24 tiếng. UZ-AP trương phồng và tạo độ nhớt cao thay vì tạo ra vết nứt. Tinh bột bắp và tinh bột khoai tây (UZ-CS và UZ-PS) có thể duy trì từ 2-6 tiếng. Độ nhớt của tinh bột bắp và khoai tây ít hơn so với polymer acrylic nên không ổn định như UZ-AP.

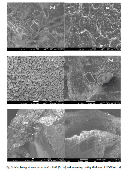
    Phân tích hình thái bề mặt: dựa trên các thông số trên UZ-AP được chọn để phân tích hình thái bề mặt. Hình thái và độ dày lớp phủ của ure được quét dưới kính hiển vi điện tử SEM. Bề mặt ure thô, không đồng nhất, chứa các tinh thể dài và nhỏ, tạo thành vòng, lỗ hổng nhỏ rất nhiều đối với ure bình thường. Trong ure phủ, bề mặt mịn, đều, dày đặc các lỗ rỗng nhỏ. Độ dày lớp phủ là từ 135-150µm, vùng xen kẽ giữa vật liệu phủ (acrylic polymer) và ure liên tục, không có bất kỳ khe hở hoặc khoang rỗng nào. Từ trên kết quả phân tích SEM kết luận rằng zeolite đã được phủ thành công trên ure bằng chất kết dính acrylic polymer.

     

    Khả năng giải phóng nito của ZCU

    Giải phóng nito: Trong giờ đầu tiên, ure thủy phân 45% và chuyển thành NH4+, phần còn lại đã bị thủy phân ở thời gian tiếp theo. Tốc độ giải phóng của UZ, UZ-CS và UZ-PS gần như bằng nhau trong khoảng 4 tiếng đầu và giảm từ UZ-CS, đến UZ-PS và cuối cùng UZ do độ nhớt tinh bột trong bắp cao hơn khoai tây. Đặc tính gắn kết của xi măng trắng bảo vệ ure (UZ-WC) khỏi các vết nứt mở rộng và kiểm soát giải phóng chất dinh dưỡng do độ cứng từ xi măng trắng. Tốc độ giải phóng của UZ-AP chậm so với các loại phân bón khác. Không tạo NH4+ trong giờ đầu tiên, 10% NH4+ trong giờ thứ 2 và 50% đến khi kết thúc thí nghiệm (giờ thứ 8) cho thấy tiềm năng thay thế làm phân bón CRF.

    Kết luận

    Ure ohur zeolite được tạo ra từ 5 loại vật liệu kết dính có chi phí thấp khác nhau theo tỷ lệ khác nhau. Phân bón UZ-AP được tạo ra từ 50% ure, 33% zeolite, 6% bentonite, 6% xi măng trắng và 5% acrylic polymer được xem là tốt nhất trong số các ZCU về khả năng chế tạo, độ bền và ổn định cấu trúc. Acrylic polymer được xem như chất kết dính hiệu quả nhất trong số tinh bột bắp và khoai tây. Thử nghiệm SEM xác nhận chảo tạo hạt thực hiện có hiệu quả và có lớp phủ mịn, đồng đều. Nghiên cứu ngâm trong 8 giờ liên tiếp các mẫu cho kết quả khác nhau và chứng minh ure phủ Zeolite có acrylic polymer có thể kiểm soát sự giải phóng nito tới 54% so với các loại khác. Do đó có thể kết luận ure zeolite mới được chế tạo theo cách này cho kết quả tốt nhất.

    Theo TegoX dịch,

    Tài liệu tham khảo: Zeolite coated urea fertilizer using different binders: Fabrication, material properties and nitrogen release studies, 2019.

     

    tin tức liên quan

    VFI 7-6, Lô B219A - B219B, Đường C, KCN Thái Hòa, Xã Đức Lập, Tỉnh Tây Ninh, Việt Nam

    support@tegox.vn

    +84 272 249 6345